Chirurgia Biodra
Zabiegi:
- Naprawa obrąbka stawu biodrowego
- Leczenie konfliktu udowo-panewkowego
- Endoprotezoplasyka stawu biodrowego
Naprawa obrąbka stawu biodrowego
NAPRAWA OBRĄBKA STAWU BIODROWEGO
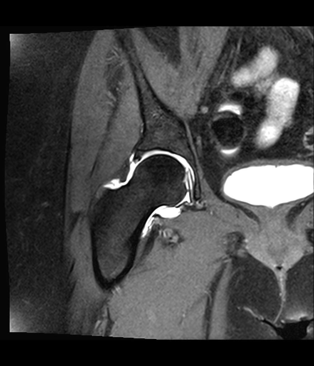
Uszkodzenie obrąbka stawowego stawu biodrowego jest częstą przyczyną dolegliwości bólowych zlokalizowanych w pachwinie zwłaszcza u młodych aktywnych osób. W Ortho Sport Clinic stosujemy metodę leczenia z wykorzystaniem miniartrotomii do stawu biodrowego co skraca czas zabiegu, redukuje ilość wykorzystywanego promieniowania X podczas operacji oraz zapewnia doskonały wgląd do stawu biodrowego w razie potrzeby przeprowadzenia dodatkowej procedury.
Wskazania do zabiegu to m.in. :
-
pourazowe lub przewlekłe dolegliwości bólowe na bazie konfliktu uszkodzenia obrąbka stawu barkowego
Przed przystąpieniem do zabiegu konieczna jest konsultacja z jednym z naszych lekarzy, który zbierze ogólny wywiad, oceni stan ogólny kliniczny pacjenta, zleci wykonanie MRI stawów biodrowych oraz konieczne badania niezbędne do kwalifikacji. Pacjent nie wymaga specjalnego przygotowania do tego typu zabiegu.
Przebieg pozabiegowy: Pacjent w trakcie hospitalizacji po zabiegu uczy się chodzić przy asekuracji kul łokciowych zwykle z częściowym obciążeniem kończyny operowanej przy asyście fizjoterapeuty. Kule są odstawiane w miarę ustępowania dolegliwości bólowych kilka tyg. od operacji.
Leczenie konfliktu udarowo-panewkowego
LECZENIE KONFLIKTU UDOWO-PANEWKOWEGO (FAI – femoroacetabular impingrment)
Dotyka najczęściej młodych aktywnych fizycznie osób, które przez dolegliwości bólowe w stawie biodrowym nie są w stanie aktywnie uprawiać sportu, W Ortho Sport Clinic stosujemy metodę leczenia z wykorzystaniem miniartrotomii do stawu biodrowego co skraca czas zabiegu, redukuje ilość wykorzystywanego promieniowania X podczas operacji oraz zapewnia doskonały wgląd do stawu biodrowego w razie potrzeby przeprowadzenia dodatkowej procedury np. rekonstrukcji obrąbka st. biodrowego.
Wskazania do zabiegu to m.in. :
-
pourazowe lub przewlekłe dolegliwości bólowe na bazie konfliktu udowo-panewkowego
Przed przystąpieniem do zabiegu konieczna jest konsultacja z jednym z naszych lekarzy, który zbierze ogólny wywiad, oceni stan ogólny kliniczny pacjenta, zleci wykonanie RTG i MRI stawów biodrowych oraz innych badań niezbędnych do kwalifikacji. Pacjent nie wymaga specjalnego przygotowania do tego typu zabiegu.
Przebieg pozabiegowy: Pacjent w trakcie hospitalizacji po zabiegu uczy się chodzić przy asekuracji kul łokciowych z pełnym obciążeniem kończyny operowanej przy asyście fizjoterapeuty. Kule są odstawiane w miarę ustępowania dolegliwości bólowych. W przypadku konfliktu wymagającego wykonania procedur na obrąbku st. biodrowego protokół obciążania zmienia się w zależności od rozległości zabiegu.
Endoprotezoplastyka st. biodrowego
ENDOPROTEZOPLASTYKA STAWU BIODROWEGO
Ostateczna metoda leczenia operacyjnego zaawansowanych zmian zwyrodnieniowych stawu biodrowego. Wiąże się z resekcją nieodwracalnie zmienionych chorobowo powierzchni stawowych i zastąpieniu ich sztucznymi, wewnętrznymi protezami. Współpracujemy z liderami na rynku producentów protez aby zaproponować naszym pacjentom najlepsze i indywidualnie dobrane protezy charakteryzujące się długą przeżywalnością i odtworzeniem optymalnego zakresu ruchu . Zabieg ma na celu uwolnienie od dolegliwości bólowych pacjenta a także poprawę lub przywrócenie funkcji operowanego stawu.
Wskazania do zabiegu to m.in. :
-
Zmiany zwyrodnieniowe stawu biodrowego.
-
Jałowa martwica głowy kości udowej
-
Reumatoidalne zapalenie stawów.
-
Złamanie szyjki kości udowej
-
Guzy okolicy biodra.
Przed przystąpieniem do zabiegu konieczna jest konsultacja z jednym z naszych lekarzy, który zbierze ogólny wywiad, oceni stan ogólny kliniczny pacjenta, wykona RTG miednicy oraz zleci konieczne badania. Pacjenci którzy są planowani do protezoplastyki stawów powinni mieć wyleczone wszystkie ogniska zapalne w jamie ustnej, układu moczowego i płciowego, jak i wykonane odpowiednich konsultacji lekarskich. dopuszczających do zabiegu operacyjnego. W okresie oczekującym na zabieg ważne jest utrzymanie prawidłowej masy ciała, aby proteza w lożach kostnych mogła utrzymać się jak najdłużej
Przebieg pozabiegowy: Pacjent w trakcie hospitalizacji po zabiegu uczy się chodzić o kulach łokciowych z pełnym obciążeniem kończyny operowanej przy asyście fizjoterapeuty. Następnego dnia realizowana jest nauka chodzenia po schodach. Łączny pobyt w szpitalu trwa około 3-4 dni w zależności od indywidualnego tempa usprawniania. W domu w ciągu pierwszy tygodni po zabiegu ważne jest aby usunąć przeszkody o , które można się wywrócić jak np. (dywany, kable). Celem lepszego poruszania się po mieszkaniu przy pomocy kul łokciowych zaleca się przestawienia mebli tak aby nie przeszkadzały w swobodnym przemieszczeniu się. W okresie pooperacyjnym ważne jest aby nie krzyżować nóg ( w czasie snu wałek układamy pomiędzy nogi) jak i zginać nóg powyżej 90 st w stawach biodrowych ( siadanie na zbyt niskich krzesłach, kanapach), siadanie na ubikacji na specjalnych nakładkach na sedes)