Chirurgia Stawu skokowego i Stopy
- Osteotomie i artordezy okołokostkowe
- Szycie zerwanego ścięgna Achillesa
- Artroskopia stawu skokowego
- Operacja/plastyka palucha koślawego, szponiastego i młotowatego
- Operacja/plastyka palucha sztywnego
OSTEOTOMIE
OKOŁOKOSTKOWE
I
ARTRODEZY
OKOŁOKOSTKOWE
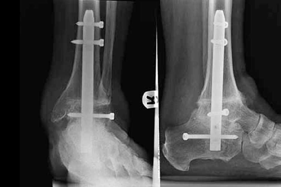
OSTEOTOMIE I ARTRODEZY OKOŁOKOSTKOWE
Są to kompleksowe zabiegi stosowane w leczeniu pacjentów z zaawansowanymi zmianami zwyrodnieniowymi, dysplastycznymi lub/i pourazowymi stopy i stawu skokowego. Procedury te obejmują osteotomię korekcyjną pięty, osteotomię nadkostkową, artrodezę (fuzję) st. skokowego i stopy uwalniając pacjenta od dolegliwości bólowych związanych z deformacją stawów. Podczas zabiegu wykorzystuje się implanty tytanowe takie jak śruby, gwoździe i płytki.
Wskazania do zabiegu to m.in. :
-
stany pourazowe stawów stopy
-
choroba zwyrodnieniowa stawów stopy
-
koślawość / szpotawość pięty
Przed przystąpieniem do zabiegu konieczna jest konsultacja z jednym z naszych lekarzy, który zbierze ogólny wywiad, oceni stan ogólny kliniczny pacjenta, wykona USG oraz zleci odpowiednie niezbędne badania - zwykle jest to rezonans magnetyczny st. skokowego i stopy oraz RTG i/lub MRI - pozwalające zaplanować szczegółowo operację.
Przebieg pozabiegowy: Jeszcze tego samego dnia pacjent jest usprawniany przy asyście fizjoterapeuty - nauka chodzenia o kulach łokciowych z markowanym obciążaniem kończyny operowanej w specjalnej ortezie st. skokowego umożliwiającej szybki powrót do samodzielności po zabiegu. Czas w jakim pacjent wraca do aktywności bez dolegliwości bólowych to około 3 miesiące. Czas spędzony w szpitalu wynosi 2-3 dni.
Szycie zerwanego ścięgna Achillesa
ZERWANIE ŚCIĘGNA ACHILLESA
Zerwanie ścięgna Achillesa jest jednym z najczęstszych urazów dotyczących uszkodzenia w obrębie stopy. Najczęściej dotyczy mężczyzn w przedziale wiekowym od 30 go do 40 go roku życia.
Do uszkodzenia dochodzi najczęściej w trakcie nagłego zgięcia podeszwowego stopy podczas, aktywności sportowej. Pacjenci wówczas zgłaszają charakterystyczne trzaśnięcie w obrębie stopy.
Do objawów uszkodzenia ścięgna Achillesa należą:
- Obrzęk w krwiakiem okolicy pięty,
- Brak możliwości stania na palcach
- Charakterystyczny ubytek w przebiegu ścięgna Achillesa.
Najlepszą metodą ostrego całkowitego uszkodzenia ścięgna Achillesa jest metoda operacyjna polegająca, na przezskórnym zszyciu ścięgna , która jest wykonywana w naszej placówce.
Opis Zabiegu.
Przezskórne szycie ścięgna Achillesa jest małoinwazyjną metodą, polegającą na przeprowadzeniu specjalnej taśmy wzmacniającej przez uszkodzone ścięgno. Zaletą tej metody jest wykonanie niewielkich nacięć w skórze w przebiegu ścięgna Achillesa pozostawiając niewielkie blizny na skórze.
Wskazania do zabiegu to m.in. :
-
Ostre całkowite lub częściowe uszkodzenie ścięgna Achillesa
Przed przystąpieniem do zabiegu konieczna jest konsultacja z jednym z naszych lekarzy, który zbierze ogólny wywiad, oceni stan ogólny i kliniczny pacjenta, a następnie zakwalifikuje do zabiegu, przy kwalifikacji do zabiegu lekarz może wykonać dodatkowo USG pozwalający zaplanować szczegółowo operację i dobrać odpowiednią metodę zabiegu. Na 10 dni przed przyjęciem do Szpitala pacjent wykonuje badania laboratoryjne z krwi obwodowej (Morfologia krwi obwodowej, APTT i INR , Sód , Potas ) i badanie ogólne moczu , oraz dodatkowych badań jeśli jest taka potrzeba). Należy pamiętać o aktualnych szczepieniach p WZW/B gdyż istnieje niewielkie ryzyko transmisji wirusa podczas zabiegu operacyjnego dlatego warto się odpowiednio zabezpieczyć przed zabiegiem
Przebieg pozabiegowy: Po zabiegu stopa unieruchomiona będzie w specjalnej ortezie obejmującą udo i goleń z podpiętkami ustawiającą stopę w zgięciu podeszwowym do czasu wytworzenia prawidłowej blizny. (tj ok 6 tyg od zabiegu). Przez pierwsze tyg. po zabiegu pacjent będzie się poruszał przy asekuracji kul łokciowych z markowanym obciążaniem operowanej kończyny. Rehabilitacja będzie dobierana indywidualnie dla każdego pacjenta przez fizjoterapeutę zgodnie z zaleceniami lekarza operującego.
ARTROSKOPIA STAWU SKOKOWEGO
ARTROSKOPIA STAWU SKOKOWEGO
Wskazania do zabiegu to m.in. :
- Obecność wolnego ciała.
- Zmiany zwyrodnieniowe stawu skokowego.
- Przerostowe zapalenie błony maziowej
- Martwica chrzęstno kostna .
- Przewlekła niestabilność stawu skokowego.
- Niewydolność ścięgien mm strzałkowych.
Przed przystąpieniem do zabiegu konieczna jest konsultacja z jednym z naszych lekarzy, który zbierze ogólny wywiad, oceni stan ogólny kliniczny pacjenta, wykona USG oraz zleci odpowiednie niezbędne badania - zwykle jest to rezonans magnetyczny pozwalający zaplanować szczegółowo operację i dobrać odpowiednią metodę zabiegu. Na 10 dni przed przyjęciem do Szpitala pacjent wykonuje badania laboratoryjne z krwi obwodowej (Morfologia krwi obwodowej, APTT i INR , Sód , Potas ) i badanie ogólne moczu , oraz dodatkowych badań jeśli jest taka potrzeba). Należy pamiętać o aktualnych szczepieniach p WZW/B gdyż istnieje niewielkie ryzyko transmisji wirusa podczas zabiegu operacyjnego dlatego warto się odpowiednio zabezpieczyć przed zabiegiem
Przebieg pozabiegowy: Dzięki zapewnieniu odpowiedniej opieki okołooperacyjnej i pooperacyjnej zgodnie z protokołem Fast Truck Surgery, który jest ceniony na całym świecie, pozwala to na skrócenie czasu rekonwalescencji i szybszego powrotu do swojej aktywności sportowej i zdrowotnej oraz zapewnia mniej powikłań związanych z samym zabiegiem operacyjnym. Po zabiegu jeśli będzie taka konieczność, stopa operowana będzie unieruchomiona w specjalnym bucie Ortopedycznym. Rehabilitacja będzie dobierana indywidualnie dla każdego pacjenta przez fizjoterapete zgodnie z zaleceniami lekarza operującego. Czas spędzony w Szpitalu wynosi 1-2 dni w zależności od procedury.
OPERACJA/PLASTYKA
PALUCHA KOŚLAWEGO,
SZPONIASTEGO, MŁOTOWATEGO.
OPERACJA/PLASTYKA PALUCHA KOŚLAWEGO, SZPONIASTEGO, MŁOTOWATEGO.
Operacja plastyczna najczęstszej deformacji nabytej czyli palucha koślawego jest zabiegiem operacyjnym mającym na celu uwolnienie pacjenta od dolegliwości bólowych po przyśrodkowej stronie palucha (tzw: bunionu) oraz na podeszwie stopy wynikające z płaskostopia poprzecznego wystepujące zwykle wtórnie do palucha koślawego przy współistniejącej poprawie efektu wizualnego samej stopy. Bardzo częstą deformacją współistniejącą do palucha koślawego są palce młotowate lub/i szponiaste, które także poddaje korekcji się podczas tego samego zabiegu operacyjnego dla uzyskania pełnego efektu terapeutycznego.
Wskazania do zabiegu to m.in. :
-
Paluch koślawy
-
Nawrót deformacji palucha po leczeniu operacyjnym
-
Deformacje pozostałych palców stopy
-
Palec V stopy zachodzący.
Przed przystąpieniem do zabiegu konieczna jest konsultacja z jednym z naszych lekarzy, który zbierze ogólny wywiad, oceni stan ogólny kliniczny pacjenta, wykona USG oraz zleci odpowiednie niezbędne badania - zwykle jest to RTG stóp w kilku projekcjach w pozycji stojącej - pozwalające zaplanować szczegółowo zakres operacji.
Przebieg pozabiegowy: Jeszcze tego samego dnia pacjent jest usprawniony przy asyście fizjoterapeuty - nauka chodzenia o kulach łokciowych z pełnym obciążaniem kończyny operowanej zabezpieczonej w specjalnej ortezie mające na celu jak najszybsze odzyskanie samodzielności. Czas w jakim pacjent wraca do aktywności sportowej wynosi około 3 miesiące. Czas spędzony w szpitalu wynosi 1-2 dni, w zależności od rozległości procedury.
PLASTYKA PALUCHA SZTYWNEGO
PLASTYKA PALUCHA SZTYWNEGO
Plastyka palucha sztywnego jest zabiegiem operacyjnym stosowanym w leczeniu dolegliwości bólowych pierwszego stawu śródstopno-paliczkowego z współistniejącym ograniczeniem ruchomości. Choroba utrudnia poruszanie się i dobór obuwia. Celem leczenia jest przywrócenie ruchomości, zmniejszenie dolegliwości bólowych oraz resekcje wyrośli chrzęstno-kostnych okolicy zmienionego stawu. W naszej klinice proponujemy procedurę z wykorzystaniem nowatorskiego rozwiązania odtwarzające powierzchnie stawowe z wykorzystaniem implantu Reg-Joint.
Wskazania do zabiegu to m.in. :
- Paluch sztywny
- Zmiany zwyrodnieniowe stawu śródstopno-paliczkowego I
- Przewlekłe dolegliwości bólowe palucha
Przed przystąpieniem do zabiegu konieczna jest konsultacja z jednym z naszych lekarzy, który zbierze ogólny wywiad, oceni stan ogólny kliniczny pacjenta, wykona USG oraz zleci odpowiednie niezbędne badania - zwykle jest to RTG stóp w kilku projekcjach w pozycji stojącej - pozwalające zaplanować szczegółowo zakres operacji.
Przebieg pozabiegowy: Jeszcze tego samego dnia pacjent jest usprawniony przy asyście fizjoterapeuty - nauka chodzenia o kulach łokciowych z pełnym obciążaniem kończyny operowanej zabezpieczonej w specjalnej ortezie mające na celu jak najszybsze odzyskanie samodzielności. Czas w jakim pacjent wraca do aktywności sportowej wynosi około 3 miesiące. Czas spędzony w szpitalu wynosi 1-2 dni, w zależności od rozległości procedury.